
Scientists have uncovered new details about how certain sugars help immune cells enter the skin during psoriasis, a chronic inflammatory disease. These sugars, known as glycans, appear to play a more active role in guiding immune cells than previously thought.
The findings were published in Science Signaling in a paper titled “Leukocytes have a heparan sulfate glycocalyx that regulates recruitment during psoriasis-like skin inflammation.” The study was led by Dr. Amy Saunders of Lancaster University and Dr. Douglas Dyer of the University of Manchester. Their joint PhD student, Dr. Megan Priestley (now at MIT), was the first author.
The Glycocalyx and Immune Cell Movement
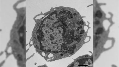
Many cells in the body, especially those that line blood vessels, are covered by a dense outer layer called the glycocalyx. This coating is made up of complex sugar molecules that form a gel-like layer on the cell surface. It serves several important functions, including protecting blood vessel walls from physical stress and chemical damage. In recent years, researchers have also discovered that the glycocalyx helps regulate how immune cells travel through the body.
Previously, scientists believed that changes in the glycocalyx of blood vessel walls were mainly responsible for allowing immune cells to pass from the bloodstream into surrounding tissues. This new study challenges that view. The team found that immune cells themselves have their own glycocalyx and actively shed part of this sugar layer to move out of the blood and into inflamed skin in conditions such as psoriasis.
Why Glycocalyx Shedding Matters in Inflammation
Shedding this sugar coating appears to be a key step in the body’s inflammatory response. It allows immune cells to leave the bloodstream and enter tissues, where they can fight infections. However, this same process can also contribute to disease. In psoriasis, for example, an excessive buildup of immune cells in the skin drives ongoing inflammation and skin damage.
Dr. Saunders said: “It is really exciting to discover how important the glycocalyx layer is on immune cells, and I hope that this research will help to lay the foundations for future advances in inflammatory disease treatment.”
Dr. Dyer said: “It has been a pleasure working collaboratively on this project to redefine our understanding of immune cell recruitment to try and better treat inflammatory disease.”
Dr. Priestley said: “This was a really fun project to work on in my PhD, and I hope this research brings more attention to the importance of sugars in the immune system.”
Other contributors to the study included Dr. Max Nobis at the University of Manchester (previously VIB-KU Leuven), and Professor Olga Zubkova of the Victoria University of Wellington in New Zealand.
Implications for Future Psoriasis Treatments
Controlling how immune cells move between the bloodstream and tissues is a promising strategy for treating both infections and inflammatory conditions. By revealing that immune cells actively modify their own sugar coating to enter tissues, this research could shift how new drugs are designed to limit harmful inflammation in diseases such as psoriasis.
The study was primarily funded by The Wellcome Trust and the Royal Society.




